Cael was a typical 15-year-old — until the discovery of an already advanced abnormal curvature of his spine.
“I felt like the Hunchback of Notre Dame,” Cael told CBC News, recalling the emotionally draining and gruesome two-year wait for spinal surgery during which his curve progressed to a whopping 108 degrees.
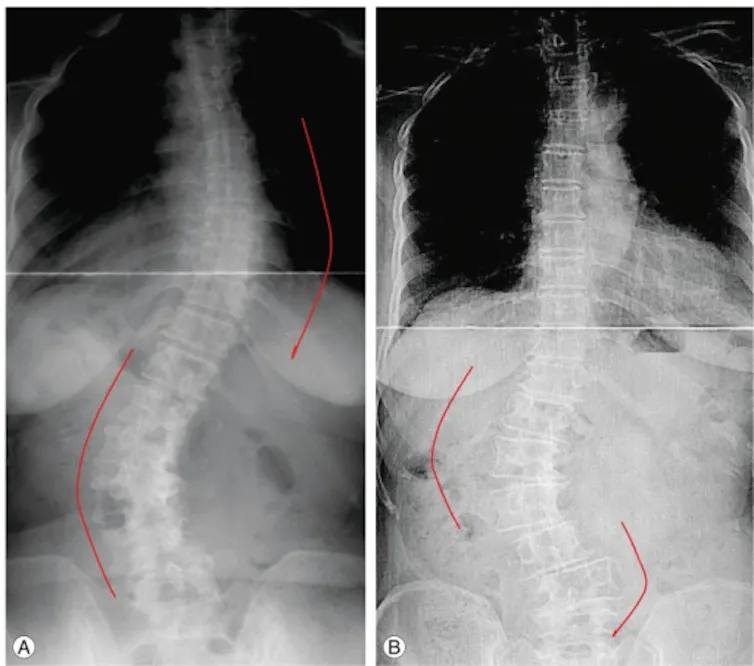
Scoliosis is an abnormal twisting and curving of the spine that can develop at any age, but mostly occurs during rapid growth spurts in children, and as part of spine aging in adults over the age of 60.
Of all types of scoliosis in children, adolescent idiopathic scoliosis is the most prevalent, accounting for as many as nine in 10 cases and impacting up to one in 20 adolescents globally. On the other end of the age spectrum, a staggering two-thirds of older adults are also affected.
Read more:
Explainer: everything you need to know about scoliosis
In clinical care, research and education related to scoliosis, disparities persist worldwide. Despite its widespread prevalence, scoliosis often goes undiagnosed, or has delayed diagnosis as in Cael’s case. It also receives limited attention in clinical and public health education, leading to significant gaps in health care.
This general lack of awareness has serious implications for thousands of people like Cael.
Gaps in effective care
In the United States, fewer than half of states legislate school-based scoliosis screening in children. Even worse, Canada discontinued screening back in 1979 because it was not considered cost-effective.
Pediatricians’ screening practices vary, and some cases of scoliosis in children are only discovered when an unrelated chest X-ray reveals a curved spine. With about 30 per cent of cases being hereditary, parents may not recognize the signs early on.
The recommended care in North America involves bracing for mild to moderate curves (25° to 45°) and surgery for curves exceeding 45°. Shockingly, 32 per cent of Canadian children, like Cael, face delayed referrals, discovering significant curves when they finally see specialists.

(Cho KJ, Kim YT, Shin SH, Suk SI), CC BY-NC
Despite documented success in managing scoliosis through early screening, exercise rehabilitation and brace treatment, global health-care education often neglects this condition.
The general lack of global awareness leaves physicians, nurses and other practitioners unaware of effective treatments and referral processes, contributing to the misunderstanding and under-treatment of patients. Consequently, when children with scoliosis eventually reach specialists for care, they may encounter challenges navigating the health-care system as they transition into adulthood.
Sex disparities
It is unclear why adolescent idiopathic scoliosis affects mainly girls. The more severe the curve, the more likely the patient is female. Due to their specific biology, females also face a five-fold higher risk of progressive deformities and are 10 times more likely, compared to males, to require surgery.
Despite generally uncomplicated pregnancies and deliveries, women with scoliosis often face difficulties receiving pain control during labour, with higher epidural failure rates. Moreover, they often suffer pregnancy-related back pain, and their spine curvature may worsen after pregnancy.
Health-care access barriers
Health-care access in the U.S. is influenced by a range of factors including race, income and health insurance coverage.
Patients with better insurance plans tend to seek pediatric orthopedic care at a younger age. Those with public insurance tend to have worse spine curvatures by the time they reach a scoliosis specialist; this is particularly striking among Black patients with public insurance, who are 67 per cent less likely to be diagnosed at a stage early enough for effective brace treatment compared to Black patients with private insurance.
While Canada’s health-care system covers spinal fusion for severe scoliosis, the lack of a national insurance program in the U.S. leads to varying out-of-pocket expenses for patients.
Those without insurance often cannot afford surgery at all.
But even with Canada’s universal coverage, patients typically wait an entire year for surgery due to a shortage of providers. Because of regional variability in resources such as access to spinal surgeons, funding and specialized facilities, some kids, like Cael, wait even longer, experiencing physical, emotional and psychological burdens, while their curves get progressively worse.
Read more:
How healthy is the Canadian health-care system?
Delayed surgery in Canada cost the health-care system $44.6 million due to more complex surgeries, extended hospital stays, readmission and re-operation rates.
Workforce and research disparities
Ongoing gender disparities in the health-care workforce and lack of research funding for this female-predominant condition continue to hamper effective action.
Fewer than five per cent of spinal surgeons identify as women. Glass-ceiling effects surround women surgeons in this male-dominated culture, perpetuating gendered training environments, being held to higher standards and earning lower wages. The dearth of senior women role models and mentors is a further barrier for career advancement and retention.
Read more:
Canada’s health-care crisis is gendered: How the burden of care falls to women
Furthermore, research funding for diseases, such as scoliosis, that mainly affect females has historically lagged far behind funding for male-predominant diseases. Improving workforce diversity is an important facet of addressing health disparities and shaping research agendas.
Inequities abound in scoliosis care and research. The impact of lack of awareness and delayed care extends beyond physical challenges. The patient and their family suffer emotionally, incurring significant financial burden while fearing the future.
The message is clear, we must do better for this underserved population.
link

